2023家庭科技一体化健康指导方案

择思达斯致力于脑科学与神经技术领域

欢迎
咨询
健康服务热线

025-5877 9199

主页 > 康复案例 >

南京德因特医疗科技有限公司

售后服务:025-5877 9199

官方网址:www.zsds.net.cn

办公地址:南京市鼓楼区中央北路73号源泉科技园

关注官方公众号

康复案例

妈妈的老年痴呆终于看到了曙光,这都要感谢择思达斯!

时间:2018-01-17

    老妈现在68,大概是4年前检查出有痴呆症。一开始,是记忆里下降,然后会反复说一句话,就像是短期记忆很难。老是忘记东西放哪,和她说话的时候总是似懂非懂的样子,不能做出正确的判断分析。到了现在,又开始有了各种臆想症状,脾气暴躁,常走动不停,有时还会出现尿失禁。

    前段时间,老妈在家一不小心摔了,股骨下型骨折,同时还便血。于是赶紧送往医院进行急救,最后检查出是肛门内20公分的肠道有息肉,医生说要做小手术。但是麻烦的是,得禁食。老妈就很狂躁,不配合治疗。手术完了在ICU就闹,要回家,说医院是骗子是诈骗集团故意不让他吃饭拖着。解释不通,只能边哄边治疗。那时候的症状已经恶化,不能自己穿衣服,大小便完全失禁,肢体易僵直。
 
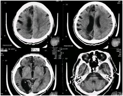
当时在医院所拍的片子
 
    老妈住院的那段日子,我和我老爸很多天都没敢闭眼。有时候真恨这个老年痴呆,别的病治疗的时候很配合,是理智的,也就是照顾的身体辛苦点。但是碰上有老年痴呆,身心俱疲。家里每天一小吵,隔天一大吵,亲情感觉在慢慢被消磨,每天在家闲不住,不让她来回走动她自己就停不下来,说又不听,叫她少走路多看电视也不听,家里前门后门无限的来回关门开门,不是把自己锁在外面,就是把家人锁在外面,我真的手足无措了,心里的那份痛苦谁能懂。我现在已经神经衰弱,都快抑郁了!
 
    一直哄她在医院接受治疗,可是一点好转的意思都没有,我和老公还要上班就把她接到家里来了,但是还是没有任何有效的治疗办法。后来上街买菜的时候一位阿姨给我推荐了择思达斯,那个阿姨和我说这个挺好的,是纯物理治疗,使用方便,安全精准,没有任何副作用,不会对人体产生不良影响。我也不知道这个治疗老年痴呆到底好不好,就先买了一台试试,也不贵。之前给妈妈住院治病的时候已经花了大几万了这个也就不算什么了。

 
爸爸在给妈妈梳理头发
 
    治疗大概一个星期的时候,妈妈的意识明显清醒了很多,我心里这颗大石头终于可以放下了,她喜欢做饭,以前米里有沙子她也不知道。现在再吃她做的饭竟然淘的特别干净,自己也知道上厕所了,脾气也不那么暴躁了。我和她说话的时候懂得回应我了,还能自己穿衣服。我真的高兴的不知道该说些什么了。
 
    现在治疗快三个疗程了,我和她说我去上班晚上才回来她竟然也点头答应了,等我晚上下班回到家看到饭菜做好整齐的摆在桌子上。当时我一把抱住了妈妈,真的我真的太激动了,我会一直坚持给妈妈治疗的,直到妈妈回到最初的样子。当然还要谢谢菜场的那个阿姨还有这个择思达斯。
 
    择思达斯温馨提示:老年痴呆是一种起病隐匿的进行性发展的神经系统退行性疾病。一般65岁以上的老人很容易患此病,得了老年痴呆,最痛苦的不是患者本身,因为随着疾病的进展,他们的思维世界就会变得“返老还童”,生活中的酸甜苦辣他们都没什么感觉,最苦的其实是照料他们的家属。在众多照料老年痴呆症患者的家属中,八成以上的人有不同程度的情绪障碍,关键是那种无法沟通和看不到希望的感觉,让很多家属深感绝望。所以积极预防及时治疗是很关键的。